Адам Кадыров с отцом | Пресс-служба главы Чечни
Сын главы Чечни Рамзана Кадырова Адам Кадыров мог сломать челюсть, когда попал в ДТП. Кроме этого, он имеет еще ряд менее значительных травм.
Авария произошла несколько дней назад. О последствиях сообщает чеченский оппозиционный Telegram-канал NIYSO.
Авторы отмечают, что характерный для такой травмы отек лица спадает лишь через 1-2 недели. А на то, чтобы снять фиксацию челюсти, понадобится примерно месяц.
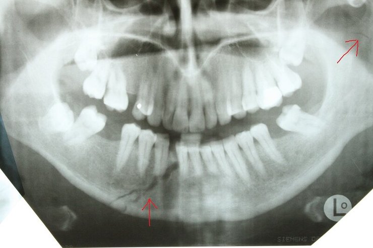
Челюсть Адама Кадырова NIYSO
Также в результате аварии у Кадырова-младшего могли появиться рваные раны, рассечения, разрывы кожи и гематомы. Из-за этого может понадобиться еще несколько недель, чтобы скрыть последствия аварии.
Оппозиционеры отмечают, что план россиян по состоянию на сейчас, вероятно, заключается в том, чтобы скрыть факт ДТП, «периодически публикуя консервы» (заготовленные видео — ред.)
Відео дня
А после того, как Адам Кадыров выздоровеет, его выпустят на публику и продолжат делать вид, будто ничего не было.
Авария Адама Кадырова — что известно
Напомним, что 16 января Фокус сообщал о том, что Адам Кадыров попал в аварию, после чего находится в тяжелом состоянии. Из-за ДТП, в частности, перекрывали часть Грозного.
Впоследствии появилась информация о транспортировке санитарным бортом Адама Кадырова в Москву. Борт самого Рамзана Кадырова приземлился в Москве вслед за ним.
СМИ выяснили, что Адам Кадыров госпитализирован в больницу имени Боткина в Москве. Медучреждение специализируется в том числе на трансплантации органов.
Пытаясь развеять информацию СМИ, глава Чечни Рамзан Кадыров показал Адама «на совещании» после ДТП. Журналисты обратили внимание, что соратник Путина опубликовал фейковую информацию — видео заседания, на котором присутствовал Адам Кадыров, было записано накануне аварии.
Позже канал NIYSO сообщил, что главная версия по состоянию на сейчас — ДТП произошло из-за потери управления, к чему привели препятствие на дороге и чрезмерно высокая скорость. Машины в кортеже начали биться друг о друга.
Также чеченские силовики проверяли мобильные телефоны работников Республиканской клинической больницы скорой помощи, куда доставили пострадавшего. Медицинский персонал также предупредили о возможных последствиях общения с журналистами и оппозиционными пабликами.
